作者:林昌平教授,德國漢堡大學醫學博士,現任高雄德昌眼科院長
文章出處:www.eyecity.com.tw
當身體接觸到過敏原,會誘發抵抗侵入物的組織胺分泌,導致血管腫脹。在眼睛的反應是紅癢流淚、眼瞼和結膜水腫。由於併發水腫反應,結膜的紅會比較傾向粉紅,而不像病毒性結膜炎的鮮紅。
「過敏性結膜炎」可分為全年性和季節性,也可稱為慢性及急性。有過敏病史的人例如氣喘、過敏性鼻炎等,也較易有過敏性結膜炎。全年性的過敏是不分季節的,黴菌、灰塵、動物毛屑及塵蟎等為最普遍的過敏原;清潔劑、香精或眼藥水也有可能。這一類的過敏全年都會發生,症狀與季節性很像,但通常較輕微。
「季節性過敏性結膜炎」又稱枯草熱結膜炎、花粉過敏性結膜炎或包括鼻腔症狀的花粉症,是在特定季節由特殊花粉所引起,所以會集中在花粉大量產生的月份。在美國,五、六月是青草花粉,八、九月則是豬草花粉;在日本,產生大量花粉的植物主要是杉樹,二至四月是杉樹花粉飄散的季節。
花粉會經由空氣傳播,進入呼吸道和眼部,引起呼吸道黏膜過敏反應而發生哮喘、鼻癢及流鼻水等過敏症狀。眼睛最明顯的症狀是癢、眼白充血,並有漿液性分泌物;但最讓父母嚇得手足無措而急著找醫師的是瞬間腫脹的結膜和眼皮,嚴重的會腫到像金魚的水泡眼品種。

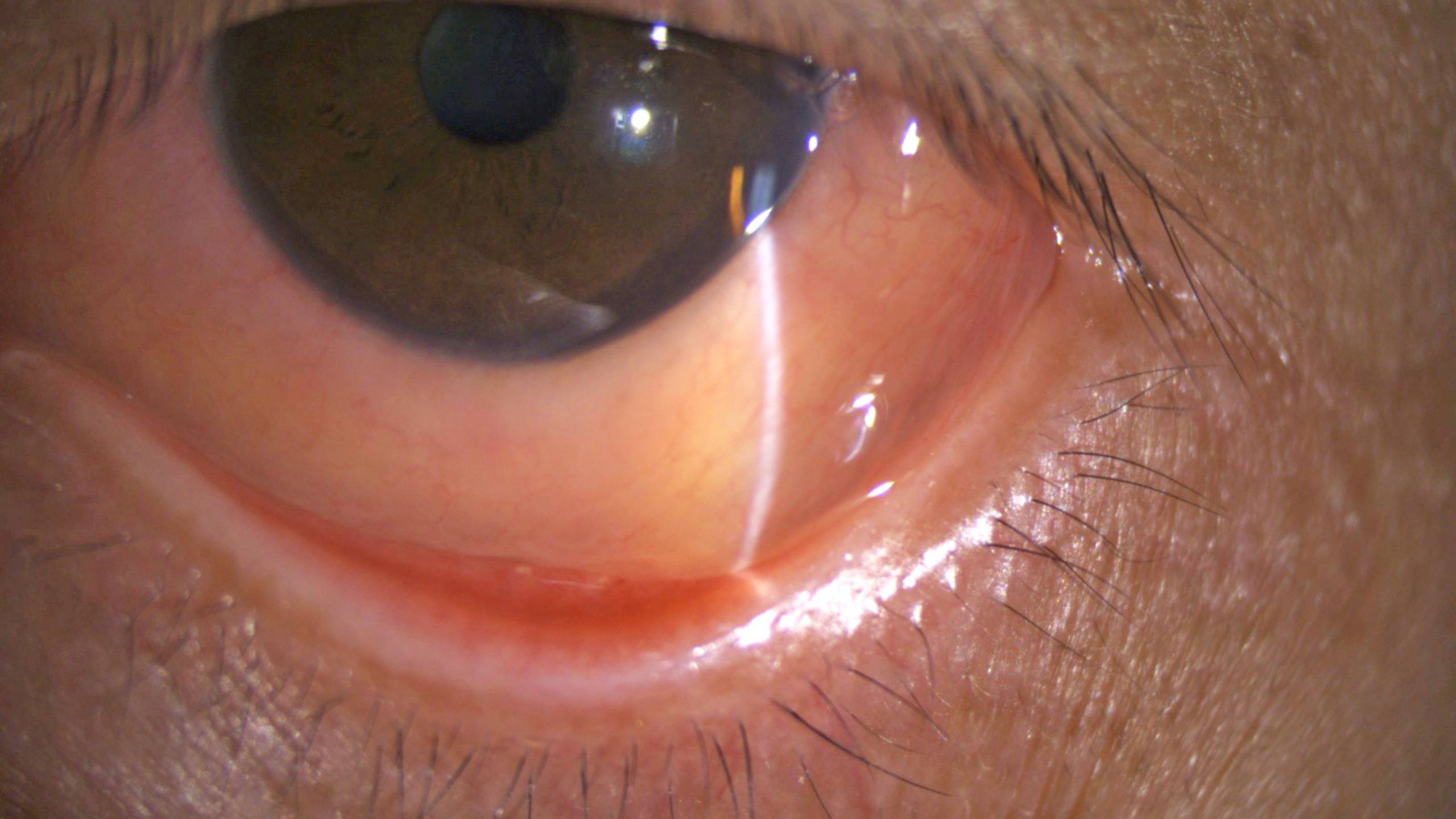
枯草熱結膜炎,急速水腫的結膜
花粉症在歐美及日本較常見,通常臆測應是這些國家花樹多,但其實並非如此,主要是這些地區空氣較乾燥,當乾熱風大時,花粉容易飄散、停留在空氣中,就容易接觸眼睛及吸入鼻腔,進而引起過敏。台灣因為空氣濕度高,花粉遇到水氣便無法長時間停留在空中,在濕冷的下雨天更會快速落地,所以花粉症在台灣較少。
許多家長聽到過敏就會想要做過敏原檢查,而早期檢查過敏原常用皮膚接觸測試,現在多採取抽血檢查,對於偶一發作的病人來說,這些檢查其實並非絕對必要。
如果想減少、甚至避免發生症狀,老話一句「預防重於治療」:避免接觸過敏原,像是花粉多的地方能不去就不去,若需要去的話記得戴帽子、太陽眼鏡或防護鏡,都有助益;多打掃居家環境、裝設空氣清淨器;點人工淚水,可以潤濕眼球表面及沖掉過敏原;碰觸眼睛前記得洗手,避免揉眼睛,因為揉眼睛會釋放更多組織胺,使症狀更加重。然而,當眼睛有狀況、手邊又沒有藥物時,古老有效的方法就是以冰水沖洗患眼,冰水除了可沖洗掉過敏原,也會暫時減輕症狀。
若因眼睛不舒服而就醫,經診斷後確定需接受治療,眼科醫師會依過敏症狀嚴重程度,開立抗組織胺、抗鬱血劑、肥大細胞穩定劑、非類固醇消炎藥或類固醇等藥物,來緩減症狀。